





Instagram is a cosmetic surgery clinic located in İzmir, Turkey. The clinic specializes in cosmetic surgery, serving international patients seeking high-quality treatment at competitive prices. Instagram provides professional cosmetic surgery services with a focus on patient safety and satisfaction. Each treatment plan is tailored to the individual, with thorough pre-operative consultations and dedicated post-operative care. The clinic's team speaks English and Turkish, making it easy for international patients to communicate throughout their treatment journey. For patients considering cosmetic surgery in İzmir, Instagram offers a combination of experienced surgeons, modern facilities, and transparent pricing.
Create a free account to save clinics and compare later.
Based on 5 reviews
Alexandra Quim
Jan 1, 2026
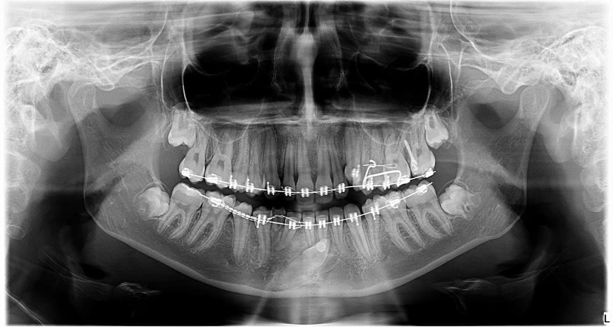
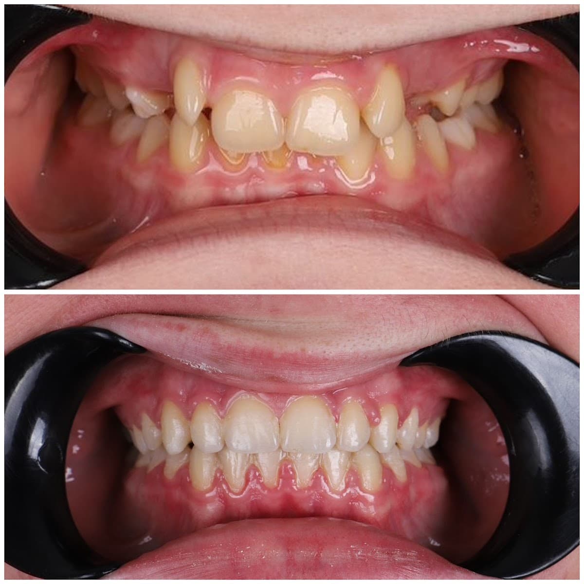
Their quality of care has been exemplary and is founded on experience, knowledge, and positivity. They are thoughtful about treatment plans and their results speak volumes. As a middle aged adult, I was not super excited about getting braces! But my experience with Dr. Topcu and team has been fantastic. The staff, facilities, and the changes I am seeing to my smile are amazing. Quite simply, they are the best in izmir Orthodontics.🙏🏼
Eva Yani
Oct 7, 2025
Starting from Google I found this place I'm from Bali and work in Türkiye Very happy to meet this doctor... he helped me solve the problem with my braces 🥰🥰🥰 very good service
Renat Khatymov
Oct 19, 2024
1.5 years after orthodontic treatment I am happy with my teeth. I am very grateful to Dr. Yusuf Ozan for his professionalism, responsiveness and good attitude. The result met expectations.
ghadir Ollaïk
Dec 24, 2021
Dr. Ozan is one of the best orthodontist in izmir, after 7 months of continuing treatment from another country. I had the best experience here. Hygiene is 10/10 Environment and ambiance 10/10 And the Doctor is veryyy friendly, professional and awesome ❤️
Adem Polat
Dec 11, 2021
Best child orthodontist in Izmir province. Our journey started with him almost 2 years back. I have never seen such patient, detailed oriented and executing with excellence dentist before. We are super satisfied with the result and progress and change in my daughter appearance. Normally my daughters pain tolerance is very low but he makes it fun with his talks and jokes. We have to share our appreciation to Gamze as well for her great assistance and follow up.
This clinic has not been verified yet
Contact information may be limited
Sign up to get personalized quotes directly from this clinic.
Be notified when new reviews or price changes are posted.
Address
Mimar Sinan Mahallesi, Alsancak, Ali Çetinkaya Blv No: 63 K D:1 D.4, 35220 Konak/İzmir, Türkiye
İzmir, Turkey
Phone
+90 232 421 67 86Website
Visit Website